文字サイズ
拡大
標準
背景色

へバーデン結節、ブシャール結節は手指の変形性関節症で、関節痛や変形が生じます。痛みや動きの制限により日常生活動作に支障が生じます。
また、へバーデン結節の関節に粘液嚢腫(ねんえきのうしゅ)と呼ばれる水ぶくれのようなものができると、皮膚が破れて感染症を引き起こす場合があります。

経験豊富な手外科専門医が患者様のライフスタイルに合わせた治療を行います。手術の場合は、へバーデン結節に対しては関節固定術、ブシャール結節に対しては人工関節置換術、粘液嚢腫に対しては嚢腫の切除を主に行っています。
また、PRP(Platelet-Rich Plasma:多血小板血漿)療法が有効な場合があります。

どんな症状があるの?

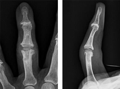
へバーデン結節では手指のDIP関節(第1関節)が腫れて痛みを感じるようになります。進行してくるとDIP関節が変形し、変形が強くなると関節の動きが悪くなってきます。
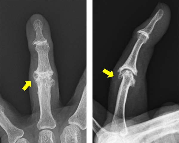
へバーデン結節があるとDIP関節背側(爪の根本あたり)に粘液嚢腫ができることがありますが、これは関節液が皮膚の方に漏れて作られるもので、痛みを伴うことがあります。
また、粘液嚢腫が破れて細菌感染を起こすと強い痛みや発赤、腫脹を伴い、化膿性関節炎や化膿性腱鞘炎などに至ることがあります。

親指のへバーデン結節に合併した粘液嚢腫
親指のへバーデン結節に合併した粘液嚢腫

ブシャール結節では手指のPIP関節(第2関節)が腫れて痛みを感じるようになります。進行してくるとPIP関節が変形し、変形が強くなると関節の動きが悪くなってきます。
PIP関節の動きが悪くなると指が握り込めなくなるため、握力が低下します。

原因は?こんな人は要注意!

へバーデン結節、ブシャール結節は、40歳以降の女性に好発しますが、過去の手指関節の外傷によっても生じ、男性にも多く認めます。
また、更年期女性に多く認める手の愁訴の総称である「メノポハンド」(menopausal hand)のひとつとして考えられています。

どうやって検査するの?

へバーデン結節、ブシャール結節の診断は問診や身体所見がとても大切です。当院では、問診や身体所見に加えてまず手指X線撮影を行い関節変形の評価を行います。典型例では関節の隙間が狭くなり、骨棘(こつきょく)の形成や偏位(横方向へのずれ)を認めます。なお、両手で複数のPIP関節が腫れて痛みがある場合には、関節リウマチなど膠原病の疑いがあるため、血液検査を実施します。

へバーデン結節
へバーデン結節
ブシャール結節
ブシャール結節

どうやって治療するの?

症状が軽い場合

投薬治療

痛みを和らげる薬を処方します。また、エストロゲン(女性ホルモン)様の作用を示すサプリメントが有効な場合があるため、その摂取の提案を行います。

装具、テーピング治療

関節の安静により多くの場合で痛みが改善するため、装具やテーピングの提案、処方を行います。

注射

ステロイド注射が有効な場合があります。しかし、同じ部位にステロイド注射を繰り返し行うと、組織が脆弱になり腱損傷などを引き起こす可能性があるため、当院では回数を制限しています。
また、当院で行っている再生医療としてPRP療法が有効な場合があります。この注射は自費診療にはなりますが、ステロイドのような組織損傷を引き起こす危険性はありません。

生活指導

物を強く掴む動作や痛みの出やすい動作を制限する一方で、関節がかたくならないように痛みのない範囲でストレッチを行い、日常生活動作や生活習慣の改善を指導します。

症状が進行している場合・早期に根本治療を希望された場合

疼痛により日常生活の制限が強い場合や、ステロイドを複数回注射されている場合、早期に根本的治療を希望されるような場合などでは手術療法が勧められます。

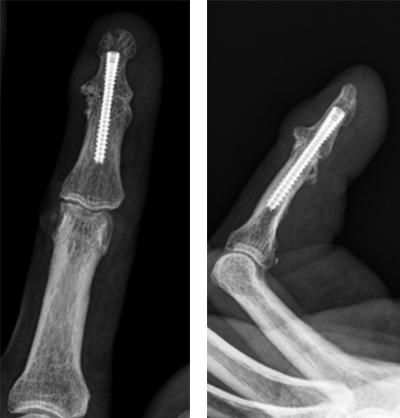
へバーデン結節に対しては、スクリューによる関節固定術を行います。DIP関節が動かせなくなりますが、痛みの改善が期待されます。

へバーデン結節に対する関節固定術
へバーデン結節に対する関節固定術

ブシャール結節に対しては、シリコンインプラントを用いた人工関節置換術を行います。PIP関節の動きを保ちながら、痛みの改善が期待されます。

ブシャール結節に対する人工関節置換術
ブシャール結節に対する人工関節置換術

粘液嚢腫に対しては、嚢腫の切除を行います(再発例では関節固定術を行うことがあります)。
局所麻酔による日帰り手術も可能ですが、全身麻酔で行う場合は3日間程度の入院手術になります。