文字サイズ
拡大
標準
背景色

母指CM関節症は、親指の付け根の関節(母指CM関節)の変形性関節症で、関節痛や変形が生じます。痛みで握力が低下し、蓋を開ける動作やタオルを絞る動作、物を強くつまむ動作などが困難になります。

経験豊富な手外科専門医が患者様のライフスタイルに合わせた治療を行います。手術の場合は、母指CM関節を直視あるいは内視鏡下に切除する関節形成術や関節固定術を行います(全身麻酔で行うため入院手術)。
また、PRP(Platelet-Rich Plasma:多血小板血漿)療法が有効な場合があります。

どんな症状があるの?

物を掴む、蓋を開ける、文字を書くなどの動作で親指の付け根に痛みがあります。
進行してくると親指の付け根が腫脹し、変形して出っ張るようになります。
変形が強くなると母指CM関節の動きが悪くなりますが、それを補うようにひとつ上の関節(MP関節)が過度に反るようになり、そこにも痛みが出てくることがあります。

原因は?こんな人は要注意!

40歳以降の女性に好発しますが、仕事やスポーツなど手を酷使する方であれば、男性にも多く認めます。
また、更年期女性に多く認める手の愁訴の総称である「メノポハンド」(menopausal hand)のひとつとして考えられています。

どうやって検査するの?

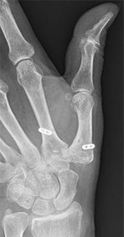
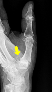
母指CM関節症の診断は問診や身体所見がとても大切です。当院では、問診や身体所見に加えてまず手関節X線撮影を行い関節変形の評価を行います。典型例ではCM関節の隙間が狭くなり、骨棘(こつきょく)の形成やCM関節の亜脱臼を認めます。

母指CM関節の変形、骨棘形成、亜脱臼を認める
母指CM関節の変形、骨棘形成、亜脱臼を認める

どうやって治療するの?

症状が軽い場合

投薬治療

痛みを和らげる薬を処方します。また、エストロゲン(女性ホルモン)様の作用を示すサプリメントが有効な場合があるため、その摂取の提案を行います。

装具治療

患者様個人の手の形に合った装具を作成します。日常生活で長期間装着することにより、多くの場合で痛みが改善します。

注射

ステロイド注射が多くの場合で有効です。しかし、同じ部位にステロイド注射を繰り返し行うと、組織が脆弱になり腱損傷などを引き起こす可能性があるため、当院では回数を制限しています。
また、当院で行っている再生医療としてPRP療法が有効な場合があります。この注射は自費診療にはなりますが、ステロイドのような組織損傷を引き起こす危険性はありません。

生活指導

物を強く掴む動作や痛みの出やすい動作を制限し、日常生活動作や生活習慣の改善を指導します。
普段行っているスポーツが原因と考えられる場合には、スポーツの休止やフォーム改善などを指示します。

症状が進行している場合・早期に根本治療を希望された場合

疼痛により日常生活の制限が強い場合や、ステロイドを複数回注射されている場合、早期に根本的治療を希望されるような場合などでは手術療法が勧められます。
手術では、大菱形骨を全切除し、人工靱帯や腱を用いてCM関節を制動します(関節形成術)。

関節形成術
関節形成術

また、比較的若い方で組織温存を希望される場合には、内視鏡下に大菱形骨を数ミリ部分切除する方法も行っています(鏡視下関節形成術)。

鏡視下関節形成術
鏡視下関節形成術

当院では全身麻酔で手術を行っており、入院期間は3日間程度で、術後は約2週間シーネ固定を行います。
なお、再手術例など一部の症例では、CM関節固定術を行うことがあります。